Health Blog

What are Natural Ways to Get Rid of Cavities? 

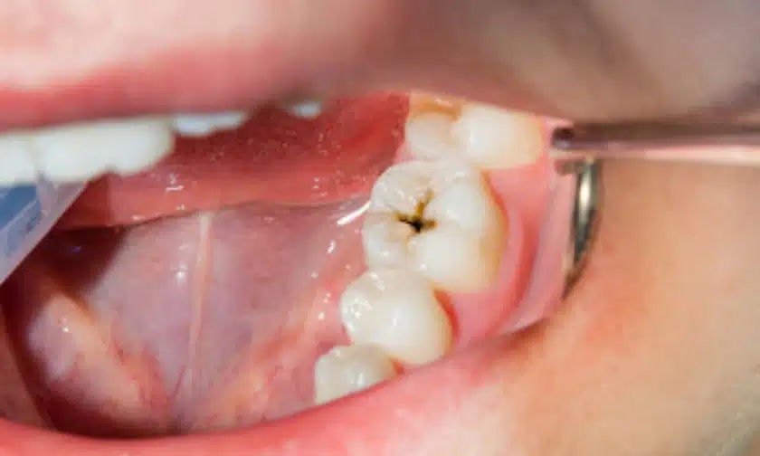
Cavities can be a serious problem that can cause discomfort and potentially lead to severe dental issues if they are left untreated. Professional dental care is essential, but there are also some natural ways to get rid of cavities and maintain a healthy and vibrant smile. 

If you are curious to know about the natural ways to get rid of cavities, then you are at the right place. In this article, we will discuss some of the common natural ways to get rid of cavities in Oahu. However, if there is a severe issue, then you must consult a dentist Oahu, to obtain explicit knowledge about the treatment of cavities. 

What are Natural Ways to Get Rid of Cavities? 

  • Oil Pulling: It is considered as one of the ancient ways of treating the cavities. In this, swishing oil, mainly coconut, sesame, and sunflower oil, is involved in your mouth for about 15-20 minutes. It is believed that this technique helps reduce the bacteria, plaque, and inflammation in the teeth. Coconut oil is mainly considered one of the essential oils for preventing microbial formation, and therefore, it is an effective way to stop cavities. You have to take a tablespoon of oil, rub it on your teeth for some time and then spit it out and rinse your mouth with warm water. 
  • A nutrient-rich diet: You must have a nutrient-rich diet that includes vitamins, minerals, and other elements for healthy teeth. You can also include calcium-rich food such as dairy products, leafy vegetables, almonds, and other such elements. You can also consume supplemented vitamin D present in fish, eggs, fortified milk, and other food products. It would help if you also consumed apples, carrots, and cereals, which can stimulate saliva production and neutralize harmful acids. 
  • Hydration and Saliva: When you stay hydrated, it helps your overall health. Water helps in washing away food particles and bacteria and thus ultimately reduces the risk of cavities. Therefore, you must drink a lot of water to stimulate the formation of saliva. Saliva is the natural defense mechanism for your teeth that can break down food particles and neutralize the acids to prevent cavities. 
  • Probiotic food: Probiotics are the forms of bacteria found in fermented foods like yogurt and other food products that help maintain a healthy balance of oral bacteria. It promotes good bacteria, and it can inhibit the growth of harmful cavity-causing bacteria. 

So, these methods can help you naturally prevent cavities. However, if there is a severe problem, then it is highly advised that you must visit a doctor for better treatment. 

Comments are closed.